POLICY患者さまの
「安心」が第一です
これからも、皆さまの歯と健康を守る心強いパートナーであり続けるために、情熱と誠意をもって診療に取り組んでまいります。今後とも、変わらぬご支援を賜りますよう、ゆたか歯科をどうぞよろしくお願い申し上げます。
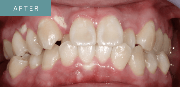
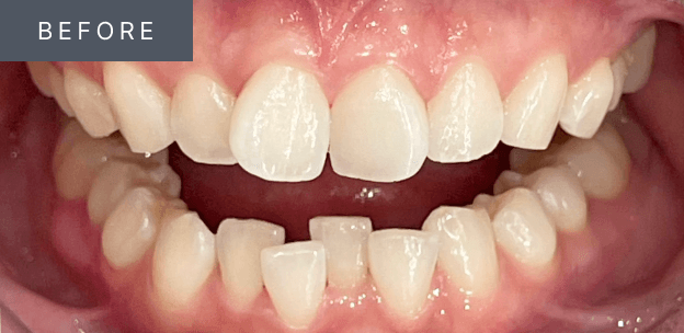
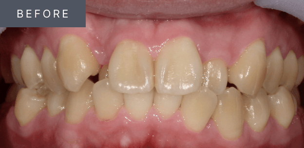
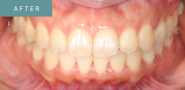
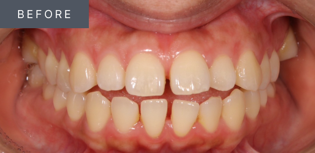
Cases症例紹介
年間4,000件以上の治療実績(2023年度実績)と各専門分野に特化した歯科医師による質の高い総合歯科医療があります。
Doctorドクター紹介
豊富な治療実績と最新技術を持つ歯科医師が多数在籍しています。

症例の紹介
あなたの口腔健康をサポートします
診療チームが、
あなたの口腔健康を
サポートします
INSTANCE症例写真
Groupグループ院の紹介
ゆたか歯科医院
| 診療時間 | 月 | 火 | 水 | 木 | 金 | 土 | 日/祝 |
|---|---|---|---|---|---|---|---|
| 09:30 - 13:00 | ● | ● | ● | ● | ● | ● | ◎ |
| 15:00 - 18:00 | ● | ● | ● | ● | ● | ▲ | ◎ |
▲ 15:00 - 18:00 ◎ 10:00 - 13:30, 15:00 - 17:30
マウスピース矯正・小児歯科
| 診療時間 | 月 | 火 | 水 | 木 | 金 | 土 | 日 |
|---|---|---|---|---|---|---|---|
| 10:00 - 13:30 | ● | ● | ー | ● | ● | ▲ | ▲ |
| 15:00 - 19:00 | ● | ● | ー | ● | ● | ▲ | ▲ |
休診日:水曜、祝日 ▲ 10:00 - 13:30, 14:00 - 17:00
ゆたか歯科・矯正歯科医院
| 診療時間 | 月 | 火 | 水 | 木 | 金 | 土 | 日/祝 |
|---|---|---|---|---|---|---|---|
| 09:30 - 14:00 | ● | ● | ● | ● | ● | ▲ | ▲ |
| 15:30 - 20:00 | ● | ● | ● | ● | ● | ▲ | ▲ |
▲10:00 - 14:00, 15:30 - 19:00
ゆたか歯科・矯正歯科医院
| 診療時間 | 月 | 火 | 水 | 木 | 金 | 土 | 日/祝 |
|---|---|---|---|---|---|---|---|
| 10:30 - 14:00 | ● | ● | ● | ● | ● | ▲ | ▲ |
| 15:30 - 19:00 | ● | ● | ● | ● | ● | ▲ | ▲ |
▲ 10:30 - 14:00, 15:30 - 19:00
